骨折作为外科的常见病,以创伤导致的骨折最为常见,随着经济社会发展和人口老龄化加剧,交通伤、建筑伤和老年骨质疏松性骨折的患者比例快速增加。髋关节骨折分为:髋臼骨折、股骨颈骨折、股骨转子间骨折。其中最严重、最常见的有两种:股骨颈骨折及股骨转子间骨折。老年髋部骨折又被大家称为“人生最后一次骨折”,是因为老年人的这个部位一旦骨折,很多老年人的身体便每况愈下,一年后的生存率只有50%左右。

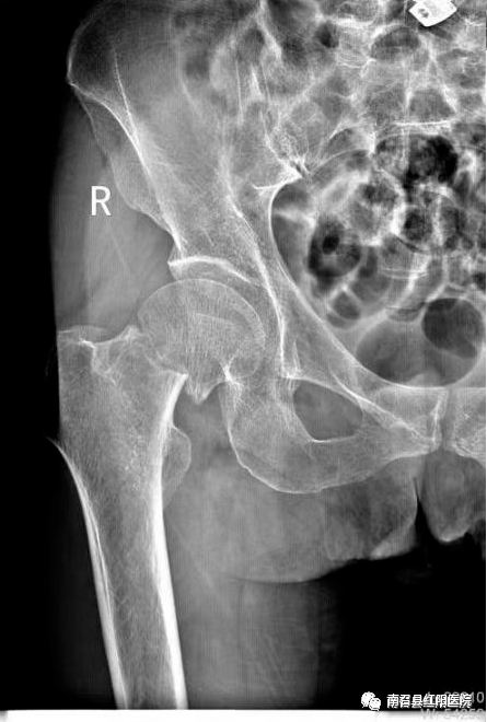
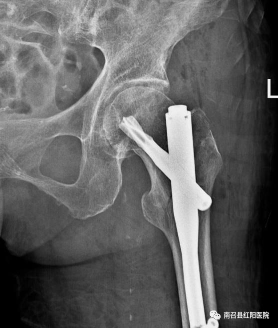
年轻人骨骼肌肉结实,除非是十分巨大的暴力作用,一般摔倒并不容易发生骨折。老年人,骨质开始变得疏松,肌肉萎缩,特别是绝经后妇女,骨质丢失更加严重。这时候髋部非常脆弱。一旦发生摔倒、滑倒,身体扭转倒地,就很容易造成髋部骨折。老年人髋部骨折后翻身和坐起疼痛不便,一般髋部骨折保守牵引治疗通常要 2~3 个月甚至更长,一旦长期卧床,就很容易造成呼吸系统感染、泌尿系统感染、深静脉血栓和褥疮等并发症,生活质量更低,进而危及生命。传统认为老年人骨折最好保守治疗,部分家属会说:“年纪大了,不再冒险受罪,不考虑手术了”,或者是担忧能否能耐受手术风险。事实上,随着医疗技术,特别是麻醉进术的快速提高,老年髋部骨折绝对禁忌症非常少。术前多学科联盟细致全面准备,使得许多百岁老人受益于外科治疗而快速恢复。目前对于股骨颈骨折一般采取人工关节置换术,对于粗隆间骨折多采用髓内钉内固定,部分患者也可以采用人工髋关节置换术,两种手术都很成熟。手术时间可控制在一个小时之内,出血量很少,绝大多数老人都可以耐受。术后一周内患者可以部分负重下床活动,避免卧床护理压力及卧床并发症。近日我院收治多例髋关节骨折病人,大部分为高龄、合并基础病较多,其中一老年女性,96岁,高龄,股骨转子间骨折,心肺功能较差,手术风险高,但患者家中困难,只有一个儿子在身边照顾,且儿子已经70余岁高龄,本身身体不好,家属为求后期方便照顾、减轻家庭负担遂要求手术治疗,积极术前检查,充分评估患者心肺功能,术前请麻醉科、代主任、王院长会诊,将手术及麻醉风险降至最低,充分评估病情后行股骨转子间骨折切开髓内钉内固定术,麻醉及手术顺利,患者术后恢复良好,现患者可坐立、屈膝屈髋及自己翻身,术后活动明显改善。


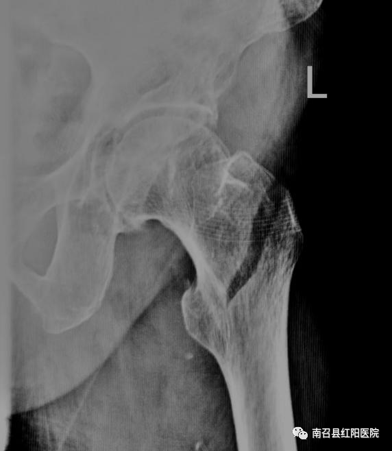
另一老年男性,孤寡老人,在养老院走楼梯时不慎摔倒,致股骨颈骨折,家中无人照顾,养老院请专门护工护理,与患者及其亲属商议后拟行手术治疗,手术顺利,术后恢复良好,术后3天即可拄拐下床活动,现患者已好转出院。


正确的防治骨质疏松是预防“人生最后一次骨折”的关键。骨密度检查不仅是骨质疏松诊断的金标准,亦是骨折风险预测、药物疗效评估的常用方法。骨质疏松症防治以补充钙剂和维生素D为基础,再与抗骨质疏松药物相结合,才能有效地防治骨质疏松症。抑制骨破坏和促进骨形成的药物对骨质疏松患者也非常重要。相关药物应在医生指导下合理使用。合理的膳食是预防骨质疏松的基础,建议摄入富含钙、低盐和适量蛋白质的均衡膳食。运动可改善机体敏捷性、力量、姿势及平衡能力等,减少跌倒风险,还有助于增加骨密度。保证充足的睡眠,每天晒1小时的太阳。对老年骨质疏松人群进行健康教育和健康管理非常重要,可以提高患者自我管理能力和疾病诊疗水平。老年骨质疏松患者冬季雨雪天气应当尽量少出门以避免摔倒。注意生活中一些小细节如在家里的卫生间装上扶手,蹲便改坐便,辅助拐杖等等,尽量避免意外发生。总之,骨质疏松是发病率较高的一种疾病,定期体检筛查、规律运动、改善饮食习惯、补充维生素与钙剂等,可避免骨质疏松引起骨折等严重的不良后果。南召县红阳医院外科坚持以"患者为中心,—切为了患者"的服务理念,在院领导及科主任的领导下,以恪守职业道德,技术精益求精为宗旨,用饱满的激情、精湛的医术服务于广大人民群众。